“Gusano del Corazón” en perros: Enfermedad experimenta importante presencia en el Pacífico costarricense
- La Dirofilariosis es la enfermedad causada por el Gusano del corazón.
- Se presenta mayor prevalencia en las zonas del Pacífico norte, central y sur del país.
- Prevención con tratamientos antiparasitarios prescritos por médicos veterinarios es vital.
Alteraciones cardíacas, pulmonares e incluso la muerte, constituyen las consecuencias de la enfermedad conocida como “Gusano del corazón”, que mayoritariamente afecta a perros. Aunque la enfermedad es de amplia distribución, investigadores veterinarios encuentran cada vez más casos en el Pacífico costarricense.
“La Dirofilariosis es una enfermedad crónica de gran importancia médica causada por el parásito Dirofilaria immitis, transmitida a través de la picadura de mosquitos, que puede causar afecciones que perjudican mayoritariamente a perros de todas las edades y también a gatos, además de cánidos y felinos silvestres” explicó el Dr. Víctor Manuel Montenegro, médico veterinario y presidente de la Sociedad del Gusano de Corazón del Colegio de Profesionales en Medicina Veterinaria de Costa Rica.
La presencia del “Gusano del corazón” en Costa Rica varía mucho: va desde lugares sin casos hasta zonas de alta presencia, donde aparecen como positivos dos de cada cinco perros. Sin embargo, existen zonas costeras que, por su cercanía a grandes cuerpos de agua, tienen tasas más altas de prevalencia de esta enfermedad.

“Según un muestreo realizado por el Laboratorio de Parasitología de la Escuela de Medicina Veterinaria de la Universidad Nacional (UNA), entre 2021-2025, se ha descubierto una incidencia mayor de casos en poblados de las costas del Pacífico, a saber: Punta Morales, Costa de Pájaros, Puntarenas Centro, Tamarindo, Puerto Jiménez y Río Claro, Parrita. También hay presencia en Sarapiquí en la Región Norte y en Tortuguero en el Atlántico” señaló el Dr. Montenegro.
¿Por qué este gusano debe preocupar a los tutores de perros?
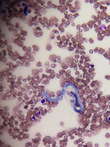
El Gusano del Corazón (Dirofilaria immitis) es un nemátodo o gusano redondo de color blanquecino, que, en su estadio adulto, se aloja en los grandes vasos sanguíneos y cámaras del corazón del animal. Es un proceso crónico que toma mucho tiempo para su desarrollo, por lo que un perro puede tener la enfermedad y aun así, pasar desapercibida en su etapa inicial por la ausencia de síntomas asociados.
No obstante, cuando los signos de la enfermedad aparecen, suelen manifestarse como jadeo en reposo, tos constante, fatiga, intolerancia al ejercicio, pérdida de apetito y de peso, anemia. En estados avanzados, el animal presenta desmayos, dificultad respiratoria, se adelgaza muchísimo y se rehúsa el movimiento.
Todos los síntomas anteriores son producto de la acción del gusano en su corazón, lo que provoca alteraciones en el flujo de sangre desde el corazón hacia los pulmones y efectos sobre los demás sistemas vitales del animal. Si la enfermedad no es tratada y se mantienen las condiciones, el porcentaje de mortalidad puede llegar al 100%.
¿Cómo llega ese gusano al corazón de un perro?
El contagio o transmisión del Gusano del Corazón NO ocurre por contacto entre perros, sino por medio de la picadura de mosquitos:
- Un mosquito pica a un perro infestado e ingiere de las larvas.
- Los parásitos adultos producen larvas que viajan por el torrente sanguíneo del hospedador, en este caso el perro; maduran dentro del mosquito en un periodo de alrededor de 14 días y se vuelven infestantes.
- El mosquito portador pica a un perro sano y lo infecta con larvas.
- Posterior al contagio, las larvas migran hacia el corazón del perro, donde pueden vivir hasta por 7 años y reproducirse como gusanos adultos, generando centenares de larvas nuevas.
- El mosquito portador pica a otros perros y el ciclo se repite.
¿Cómo podemos proteger a nuestros perros?
De acuerdo con el Dr. Víctor Montenegro, esta enfermedad puede prevenirse, siempre y cuando los tutores de perros asuman su compromiso y responsabilidad.
Particularmente en las zonas costeras o de bajura donde hay cercanía de grandes cuerpos de agua (ríos, esteros, mar, etc.), de manera preventiva es necesario aplicar a las mascotas antiparasitarios durante todo el año y ejecutar una prueba anual para la detección del parásito en su sangre. Valga indicar que, en las zonas de alta incidencia, esta prueba de detección debe ejecutarse cada seis meses.
Si la mascota ya está infestada, debe realizarse un tratamiento con Clorhidrato de Melarsamina o Doxiciclina (mediante el método “slow kill”), tratamientos que solo pueden ser prescritos, aplicados y monitoreados por un médico veterinario, pues es quien sabrá mejor cuál será la dosis por aplicar en concordancia a la edad, peso y demás condiciones de salud de la mascota.
El Colegio de Profesionales en Medicina Veterinaria de Costa Rica defiende el ejercicio legal de la profesión de medicina veterinaria. Por tal razón, la ciudadanía puede consultar en su sitio web, el Directorio de Médicos Veterinarios incorporados: https://colegioveterinarios.or.cr/directoriocmv/
Visita Nuestra Sección Animal

